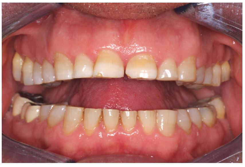
Chào mừng các bạn đến với bài viết của chúng tôi về mòn răng ở người lớn tuổi. Trong những năm gần đây, mòn răng đã trở thành một vấn đề phổ biến đối với người lớn tuổi. Hiểu rõ về nguyên nhân, triệu chứng và cách phòng ngừa mòn răng là điều quan trọng
Giới Thiệu Về Mòn Răng Ở Trẻ Em Mòn răng là một tình trạng hư hỏng răng do quá trình tiếp xúc lâu dài giữa men răng và các chất gây hại. Mòn răng không chỉ ảnh hưởng đến người lớn mà còn phổ biến ở trẻ em. Tuy nhiên, nếu không được điều trị
Niềng răng cho bé 7 tuổi là một quyết định quan trọng để giúp con bạn có một hàm răng khỏe mạnh và sắp xếp đều đặn. Trong giai đoạn phát triển này, việc điều chỉnh vị trí răng sẽ dễ dàng hơn do xương hàm của trẻ còn linh hoạt. Bài viết này sẽ
Nha khoa Hello tự hào với đội ngũ bác sĩ chuyên môn cao, tận tâm và giàu kinh nghiệm. Được sáng lập bởi bác sĩ Võ Hoàng Anh, nha khoa Hello luôn đặt lợi ích và sức khỏe của khách hàng lên hàng đầu, mang đến dịch vụ chăm sóc răng miệng toàn diện cho
Xem nhanh💎 NHA KHOA HELLO: TIÊU CHUẨN VÀNG TRONG CHĂM SÓC NỤ CƯỜII. YẾU TỐ AN TOÀN TUYỆT ĐỐIII. CHẨN ĐOÁN VÀ LẬP KẾ HOẠCH CHÍNH XÁCIII. CÔNG NGHỆ ĐIỀU TRỊ HIỆN ĐẠI & CHUYÊN SÂUIV. KHÔNG GIAN VÀ TRẢI NGHIỆM THÂN THIỆN🌟 KẾT LUẬN: ĐẦU TƯ CÔNG NGHỆ, VÌ NỤ CƯỜI CỦA BẠN 💎




